Diş çürüklerinin, anne ve babadan çocuğa bulaşabilen bir hastalık olduğuna dikkat çeken İskenderun Gelişim Hastanesi Diş Hekimi Kamil Keçecioğlu, ebeveynlerin yapmaları gereken davranışları anlattı.
Ebeveynlerin Yapmaları Gereken Davranışlar Nelerdir?
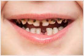
Diş çürüğünün bebeklere bulaştığında ömür boyu etkileyebilecek bir durum olduğunu ifade eden Diş Hekimi Kamil Keçecioğlu; “Diş çürüğü, anne ve babadan çocuğa bulaşabilen bir hastalıktır. Ebeveynler, bebeklerinin ilk süt dişlerinin çıkmasıyla birlikte bu hassas dişleri ya bu iş için üretilen özel fırça ile ya da temiz bir tülbent yardımıyla düzenli olarak fırçalamalıdır. Bebeklerin beslenmesi sırasında ballı emzik, şeker içerikli sıvı gıdaları içeren biberonun kullanımları biberon çürüğü olarak adlandırılan üst ön kesici dişlerde çürüklerin oluşmasına neden olur. Bu nedenle bu tür davranışlardan uzak durulmalıdır.
Ebeveynler, henüz süt dişleri yeni oluşmaya başlayan ve şekerli gıdalara hassasiyeti düşük bebekleri şekerli gıdalardan uzak tutması gerekmektedir. Ayrıca bebeğinizi ağzından öpmek, mamasını yedirirken kontrol amacı kaşığı ağzınıza sürmek gibi hatalara düşmeyin. Anne ve babaların, bebeklerini bir sorun olsun ya da olmasın 6 ayda bir diş hekimine kontrole götürmeleri oldukça önemlidir. Beslenme esnasında kaşığın ağızdan ağıza geçirilmemesi, emziklerin bakıcı anneler tarafından kendi ağızlarına sokulmaması ve bebeğin ağız ve çevresinden öpülmemesi gibi önlemler alınabilir” dedi. (Haber Merkezi)








